-
고양이 부러진 발톱 치료는 초기에! 발톱에 생긴 육아종 제거카테고리 없음 2023. 7. 24. 11:46

안녕하세요.
비아츠
입니다.
내원 동기
발톱의 상처로 내원한 아이입니다.
원래는 길에서 생활하던 아이라고 합니다.
특이한 것은 집 안에서 생활하는 것이 아니라
마당에서 생활한다고 하네요.
어디 도망가지 않고
외부에서 생활을 한다니
그곳이 퍽이나 마음에 드나 봅니다.
보호자님이 발톱에 상처를 인지한 것은
그 시기가 좀 되었다고 합니다.
약물 치료 등 할 수 있는
최선의 노력을 다했지만 호전될
기미가 보이지 않고
지속적인 출혈이 발생하여
당원으로 내원하셨습니다.
자세한 검진을 위해서는 마취가 필요합니다.
보통의 길고양이들은 야생의 습성이 그대로
남아있어서 치료에 상당히 비협조적입니다 ㅜ

얼마 전 길 양이 치료하다 긁힌 상처입니다.
원장님 팔에는 무수히 많은 상처들이..
다행히 이 아이는 사람의 손을 즐기는 아니라
치료에도 협조적이라 호흡 마취가 가능했습니다.
보통의 치료에 협조를 하지 않는 고양이는
호흡 마취가 힘들어요..
혈액 검사



다행하게도 혈액 검사에서는 특이 소견은 없었습니다.
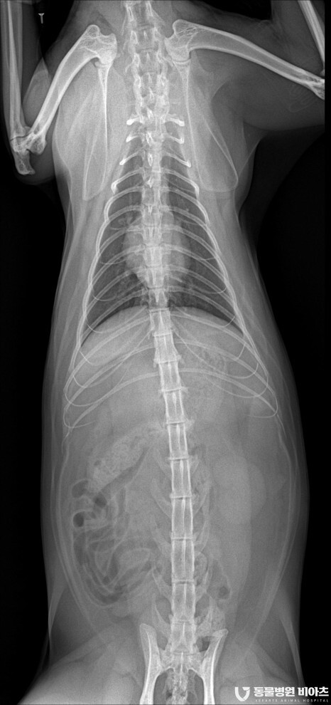
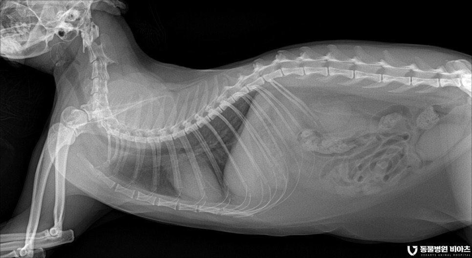
엑스레이 촬영







흉부 엑스레이와 발톱 부위의 엑스레이 촬영을 합니다.
마취 전 검사와 병변 부위의 검사입니다.
병변 부위를 제외하고는 특이 소견이 없었습니다.
치료 (호흡 마취, 부분 골절된 발톱/ 육아종 제거)



골절된 발톱 부위에
염증이 많습니다.
염증이 생겨서 벌어진 틈으로 육아종이 증식하였습니다.
또한 출혈도 발생하고 있습니다.




제거된 병변입니다.
하는 김에 다른 발톱들도 상태를 체크하고
깨끗하게 정리를 해주었습니다.

치료가 끝난 아이의 발톱입니다.
염증 조직과 변형된 발톱 그리고 육아종까지
깨끗하게 제거를 하였습니다.

귀여운 치즈입니다.
상처로 인해 파행 증상이 약간 있었는데
이제는 편안한 보행을 할 수 있겠네요!
치료 예후
야외에서 생활하던 아이인데
10일 정도 당분간은 실내에서 생활하며
관리해 줄 것을 당부드렸습니다.
상처 부분을 핥을 수가 있어서
넥 칼라를 꼭 착용해야 하고요
약은 10일 처방이 되었습니다.
치료를 했음에도 재발한다면
종양성 질환을 고려해야 합니다.
치료 비용
(아이의 증상/ 상태마다 상이한 부분이 많으니 참고만 하시길 바랍니다.)
*혈액검사 - 105,000
*X-ray - 33,000
*마취(호흡) - 77,000
*주사 - 6,600
*처치(지혈) - 16,500
내복약(10일) - 44,000
넥칼라 - 7,700
상처는 발생 초기에 치료를 하는 것이
비용적 측면이나 관리적 측면에서
상당히 유리합니다.
상처가 생겼을 경우 또는 아이가
불편함을 느끼는 징후가 발견되었을 경우
빠르게 인근 병원을 방문하여
정확한 진단을 받고 치료를 하는 것을 추천드립니다.

카카오톡 상담/예약
"동물병원비아츠"