-
고양이 볼록 나온 배 서혜부 탈장 수술 알아보기카테고리 없음 2023. 9. 14. 14:32

안녕하세요.
비아츠
입니다.
이번 시간에는 고양이 서혜부 탈장에 대해서 알아
보겠습니다.
서혜부 탈장
고양이의 서혜부 탈장은 고양이의 사타구니 부위에서 발생 하는 탈장 질환입니다. 복부 기관이나 조직이 복벽의 개구부를 통해 사타구니 부위에 있는 서혜관으로 돌출될 때 발생합니다.
원인
- 외상 : 자동차 사고나 높은 곳에서 떨어지는 등 복부에 외상이나 부상으로 인한 탈장이 생길 수 있습니다.
- 임신과 출산 : 임신 중이나 출산 중에 복벽에 가해지는 압력이 증가하여 서혜부 탈장이 발생할 수 있습니다.
- 선척적 발생 : 선천적으로 서혜부의 구멍이 넓어서 발생하는 경우가 있습니다.
- 노화 : 나이가 들면서 근육의 힘이 약해져 발생 하는 경우가 있습니다.
치료
수술을 통해 탈장된 부위를 교정합니다. 탈장된 조직을 복강으로 다시 배치하고 약해진 복벽을 복구하거나 강화합니다. 수술 후 회복하는 데 시간이 필요하므로 일반적으로 입원 치료를 받습니다. 또한 통증 관리 및 활동 제한과 같은 수술 후 관리가 필요합니다.
치료 사례
다음은 탈장 증상으로 내원한 아이의 사례입니다.

3살 가량의 고양이가 내원하였습니다.
식욕도 좋고 활발하고 어디 불편해하는 곳도 없는 임상 증상이 전혀 없는 상태였습니다.
다만 배만 볼록하게 나와 있었다는 것 말고는 말입니다.
탈장의 경우 그대로 방치할 경우 주변 조직의 염증, 장유착 등이 발생할 수 있고 심각한 합병증을 유발하므로 증상이 없더라도 탈장 징후가가 있을 경우 발견 즉시 적절한 치료를 받아야 합니다.
혈액검사



혈액 검사상 특이 소견은 없었습니다.
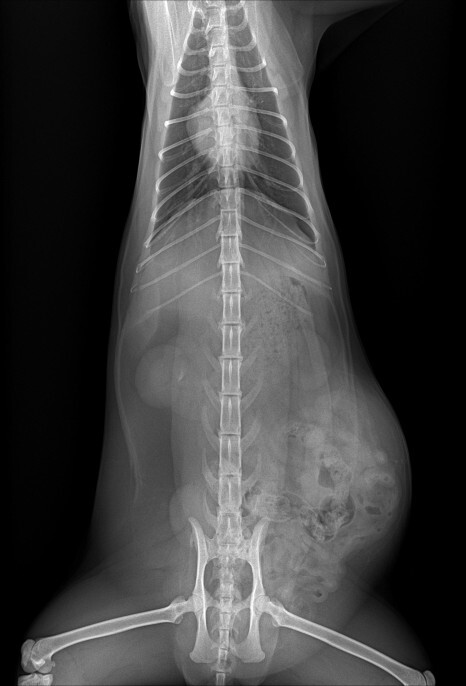
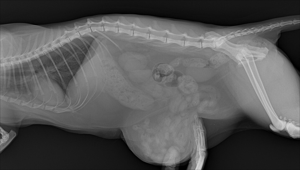
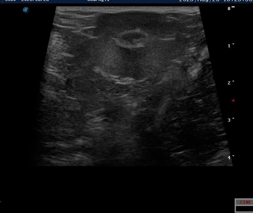
방사선 및 복부 초음파


이 아이의 경우 육안으로도 확연하게 확인이 가능할 정도로 서혜부쪽의 배가 볼록하게 나와있었습니다.
정확한 상태를 파악하기 위해서 엑스레이와 복부 초음파 검사를 하였습니다.

서혜부 탈장이 확인 되었고 수술을 진행하기로 결정하였습니다. 아이는 며칠 동안 입원하여 안정을 취하기로 하였습니다.
수술

호흡 마취가 진행되었습니다.
저희 병원은 아주 특별한 경우를 제외 하고는 호흡 마취를 통한 수술을 진행하고 있습니다.


수술을 위해 배 부위의 털을 정리하고 나니 더욱더 확연하게 드러난 볼록 솟은 배입니다.

수술 도구가 등장합니다.
보기만 해도 차갑고 날카로움이 연상이 됩니다.

정확한 위치를 잡고 개복을 합니다.


탈장 부위가 상당히 넓습니다.

복강 지방과 장간막으로 쌓여 있던 탈장 주머니를
제거하였습니다. 부위가 넓은 만큼 많은 조직이 제거 되었습니다.

수술은 2시간 정도가 소요되었습니다.
탈장 부위를 제대로 교정한 후 봉합에 들어갑니다.
근육층 피부까지 아주 꼼꼼하게 봉합을 합니다.




수술이 성공적으로 마무리 되었습니다.
별다른 임상증상도 없었기 때문에 자칫 모르고 넘어갈 수 있는 부분이었음에도 빠르게 발견되어 수술을 받을 수 있었습니다.

워낙 부위가 넓어서 원장님이 많이 걱정을 했는데 빠른 회복을 하고 있어서 얼마나 다행인지 모르겠습니다.
아이는 당분간 격리 입원실에서 집중 케어를 받고
봉합사 제거 후 보금자리로 돌아갈 예정입니다.