-
고양이 방광염 증상 치료카테고리 없음 2023. 9. 1. 10:51
안녕하세요.
비아츠
입니다.

오늘 소개해 드릴 내용은 고양이
방광염입니다.
고양이 방광염
고양이 방광염은 방광에 세균이나 진균 바이러스 등에
의한 감염이나 방광결석 등으로 인해 염증이 있는
상태를 말합니다.
세균성, 진균성 등 원인이 되는 것이 앞에 붙어
"세균성" 방광염 등으로 좀 더 구체적으로 표현할 수
있습니다.
고양이에서는 하부요로질환(Feline lower urinary tract
disease, FLUTD) 중 50~60% 가 특발성 방광염(Feline
idiopathic cystits, FIC)으로 진단됩니다.
특발성이라는 말은 원인을 알 수 없거나 밝혀지지 않은
경우 붙는 진단명입니다.
방광염 증상
*배뇨장애
*배뇨 빈도 증가
*혈뇨
*배뇨 시 울음
*회음부의 과도한 그루밍
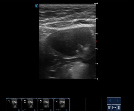
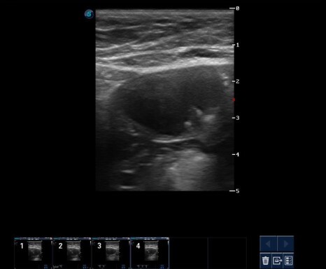
혈뇨 증상으로 내원한 아이입니다.
감별 진단을 위해 방광 초음파 검사, 방사선 검사,
소변 검사를 진행하였습니다.


소변 검사에서 육안으로도 확인이 가능한 혈뇨가 확인
되었습니다.
침전물 염색 검사에서는 다수의 구균이 관찰되었습니다.
초음파 검사에서는 혈괴 또는 슬러지(sludge)로 의심되는 물질을 관찰할 수 있었습니다.


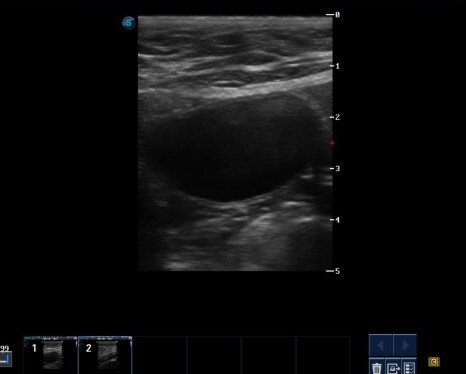
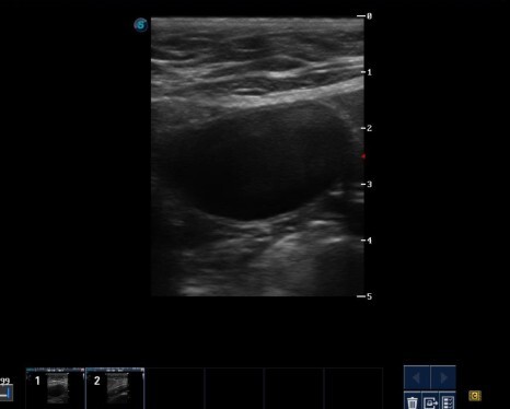
현미경 검사에서 다수의 세균이 관찰되는 것을 토대로
세균성 방광염으로 진단하였고 항생제 치료를
진행하였습니다.
항생제 투약 2주 후 혈뇨가 없어지고 초음파 검사상 방광 상태도 호전된 것을 확인할 수 있었습니다.


특발성 방광염은 약물 치료가 상황에 따라 선택적인 경우도 있지만, 세균성 방광염은 뇨배양 검사를 통한
항생제 치료가 가능합니다.
혈뇨, 빈뇨 등 증상은 같더라도 원인이 되는 것은 모두
다르기 때문에 초기에 감별 진단을 정확히 하는 것이
중요합니다.