-
강아지 잇몸 혹 치은농양 치료카테고리 없음 2023. 9. 14. 14:30

안녕하세요.
비아츠
입니다.
이번에 소개해 드릴 질환은 잇몸에 혹이 발생하는 치은농양입니다.
치은농양
치은농양은 parulis, gumboli, fistula, granuloma, 누공육아종 등 여러 가지 이름이 있습니다.
겉모습이 혹-종양(mass), 결절(nodule)과 비슷하기 때문에 fistula(누공) granuloma(육아종)이라고 표현하기도 합니다.
원인
*치석
*치주염
*충치
*치아골절
*노령견
대부분 치아 관리가 미흡할 경우 발생하는 질환을 원인으로 하는 경우가 많으며, 치아 뿌리의 염증과 관련된 경우가 대부분입니다.
치료
다음은 치근농양으로 저희 병원에 내원한 아이의 사례입니다.

잇몸에 혹 같은 것이 난 것 같다고 하여 내원하였습니다. 종양보다는 치주염과 관련이 있을 것 같다고 설명드리고 검사를 진행하였습니다.
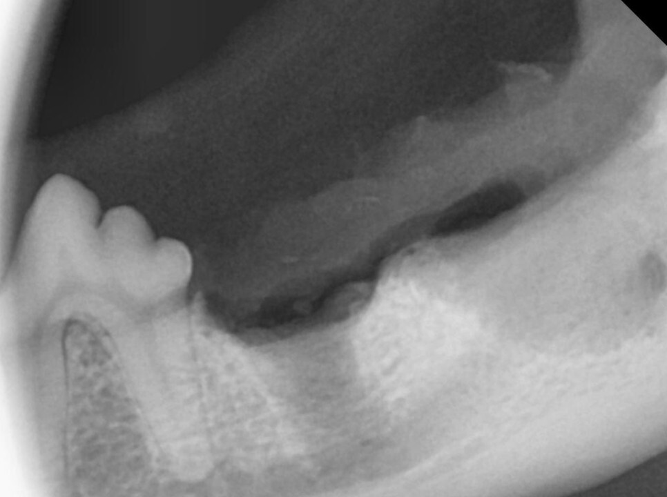
사진을 보면 치아 아래쪽 잇몸에 혹 비슷한 것이
관찰되고 있습니다.

방사선 검사상 같은 부위에 치주염이 있는 것을
확인할 수 있었습니다. 또한 바로 뒤의 두 번째 어금니에도 병변이 확인되었습니다.
우리가 치주염(periodontitis)이라 하는 염증은 잇몸 밑의 biofilm 생체막이라는 것에 의해 발생합니다. biofilm은 세균이 자신 스스로를 보호하기 위해 생성하는 장치-방어막이라고 할 수 있습니다.
이러한 균이 증식하게 되면 서로 단단하게 결합되어 있어야 할 치아 뿌리-인대-치조골을 느슨하게 하고 결국은 치조골을 뚫고 나와 잇몸 부위에 작은 구멍을 만들게 됩니다. 연부 조직은 염증이 있거나 공간이 생기면 증식하여 그 부위를 덮으려는 습성이 있습니다. 그렇기 때문에 결국에는 종양과 비슷한 모양의 혹처럼 병변이 생기는 것입니다.

원인이 되는 치아를 발치하거나 근관치료(root canal therapy)를 해야 합니다. 염증에 의한 병변이기 때문에 혹만 제거해서는 근본적인 치료가 될 수 없습니다.
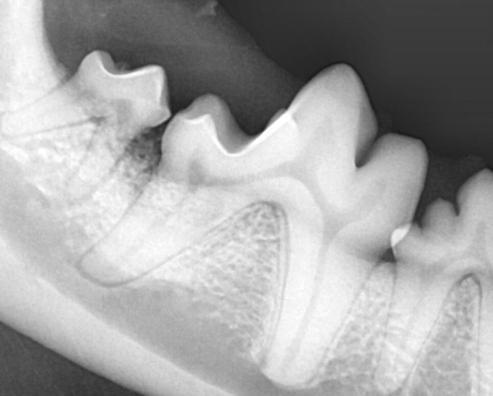
이 아이의 경우 병변이 너무 많이 진행되어서 첫 번째
어금니와 두 번째 어금니 모두 발치를 진행하였습니다.

원인을 제거하였기 때문에 종양처럼 병변의 재발을 걱정할 필요는 없습니다. 하지만, 안타깝게도 반대쪽 치아에도 병변이 진행되고 있었습니다.

그나마 다행인 것이 반대쪽의 경우 진행 초기라
합성 뼈를 이식하는 것으로 치료를 할 수 있었습니다.


아까도 말씀드렸다시피 이 질환을 예방하는 방법은
꾸준한 구강관리입니다.
칫솔질을 열심히!
바로 칫솔질을 열심히 해주시면 됩니다.
방법은 간단하지만 꾸준하게 지속적으로 해야 하기 때문에 쉽지만은 않습니다.