-
강아지 심장병 알아보기 무증상 심장병 심잡음을 확인하자!카테고리 없음 2023. 7. 17. 16:55

안녕하세요.
비아츠
입니다.
우리 반려동물에게 심장병이 많이
발병한다는 것을 알고 계시나요?
심장병은 완치의 개념이 없어서 발병하면
꾸준한 관리가 필요한 질환입니다.
초기에는 아무 증상이 없어서
치료 시기를 놓치는 경우가 있는데요
초기 심장병은 간단한 청진으로
심잡음을 확인하여 심장 이상 여부를 확인할 수
있습니다.

강아지 심장병
"삼장의 구조나 기능, 또는 심장과 연결된 혈관에
문제가 발생하는 것을 심장병이라고 합니다.
강아지나 고양이에게 많이 발생하는
질병 중 하나입니다.
심장병의 종류를 살펴보면
판막성 심장 질환심장 판막에 이상이 생기는 판막성 심장질환(이첨판, 삼첨판)심근 질환심근이 두꺼워지거나 얇아져서 발생하는 심장 질환부정맥심장 박동 리듬에 문제가 생겨서 발생하는 심장 질환선천성 심장 질환선천적으로 심장에 문제를 갖고 태어나서 발생하는 질환이런 다양한 이유로 심장의 기능에 문제가
생기면 심장 본연의 펌프 역할을 제대로
하지 못해서 심장 수축 기능이 떨어지는데요
이를 "심부전(heart failure)"라고 합니다.
심장병이 생기면 발생하는 문제
심장은 온몸에 혈액을 공급하여 순환시키는
펌프 역할을 하는 아주 중요한 장기입니다.
심장에 문제가 생기면 신체의 혈액 순환에
문제가 발생하게 되고 이런 문제가
심해져서 나타나는 질환을 심부전이라고 합니다.
"심부전"은 좌심부전과 우심부전으로 나뉘는데요
심장은 좌심실, 좌심방 / 우심실, 우심방으로
왼쪽과 오른쪽으로 구분이 되어 있습니다.
좌심부전은 왼쪽의 심장이 혈액을 내보내는 과정에
문제가 생겨 발생합니다.
왼쪽 심장은
전신으로 혈액을 공급하는 역할을 담당하고 있습니다.
문제가 생길 경우 폐수종(폐에 물이 차는 현상)이 발생합니다.
유발 증상
*호흡곤란
*기침
*심각할 경유 폐출혈, 객혈
우심부전은 오른쪽 심장이 혈액을 내보내는 과정에
문제가 생겨 발생합니다.
오른쪽 심장은
폐에 혈액을 공급하는 역할을 담당하고 있습니다.
문제가 생길 경우 흉수, 복수가 발생합니다.
무증상 심장병
심장병이 발병하여 판막이나, 심근에의 문제가
생기면 증상이 바로 타나나지 않습니다.
심장병의 초기 증상인 기침이나 헐떡임 등
보호자가 알아챌 수 있는 증상이 나타나지
않는 시기를 말합니다.
심장병의 진행 단계별 구분
미국 수의 내과학회(ACVIM)에서는 심장병의 진행 단계를
A, B(B1, B2), C, D 4단계로 구분하고 있습니다.
무증상 심장병은
심장병이 발병했지만 증상이 나타나지 않는
B1, B2 단계를 말하며
기침이나, 호흡곤란 등이 나타나기 시작하며 증상이
더 빨리 진행되는 C, D 단계를
"심부전"
이라고 합니다.
AB1B2CD심잡음XOOOO임상증상XXXOO내용발병하지 않았지만심장병 발병이 높은 견종(소형/노령견)주의 관찰이 요구됨.이첨판 문제 발생심잡음이 들림X-ray로 확인 가능관리 시작기침, 헐떡임 발생관리 힘들고치료 효과도 떨어짐권장 사항정기적인 심장 청진심장 검진6~12개월 주기수의 사의 지시에 따라투약 및 식이 관리수의 사의 지시에 따라투약 및 식이 관리
초기 관리의 중요성
미리부터 관리를 시작하면 심부전이 일어나는 시기를
60%(평균 15개월) 지연시킬 수 있습니다.
증상 없이 보내는 기간도
전체 수명도 연장되기 때문에
유의미한 의미가 있습니다.
심장병 진단을 위한 검사
1. 신체검사
*체온, 심박수, 호흡수
*기침의 양상, 점막 상태를 통한 혈액 순환 확인
2. 청진
가장 중요하면서 기본적인 검사
판막의 문제 등으로 그 기능을 제대로 하지
못하여 혈액이 역류하면, 심장 소리를 들을 때
심잡음(murmur) 발생
3. 혈액검사/혈압측정
전신 혈압은 심장의 수축력 및 순환하는
혈액량 등에 영향을 받습니다.
혈압 변화를 유발하는 다양한
질환이 심장에 영향을 주기도 합니다.
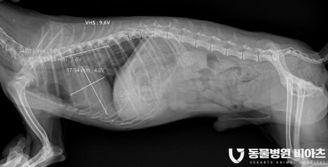
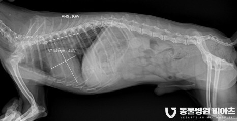
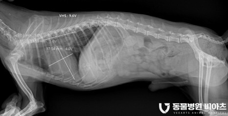
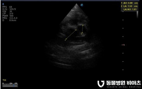
4. 엑스레이/초음파
엑스레이 (VHS, VLAS)
초음파(LA:Ao, LVIDDN)
5. 심전도 검사

가장 중요하고 기본적인 것은
청진에서 심잡음을 확인하는 것입니다.
일반적으로 동물 병원에 내원을 하면
기본 신체검사 시
수의사 선생님이 청진을 하는데요
이런 식으로 아이에게 심잡음이 있는지
주기적으로 체크를 하는 것이 좋습니다.
심잡음이 발생되었다면
엑스레이나 초음파로 보다 면밀하게 검사를 하고
아이의 상태나 기저질환 또 심장 질환의 단계에
맞는 치료를 적극적으로 하면 됩니다.

심잡음 들어보기
심잡음A.m4a0.09MB심잡음 B.m4a0.09MB심잡음 C.m4a0.09MB심잡음 D.m4a0.09MB단계별 심장 소리입니다.
청진기를 통한 청진음은 보호자님은 들을 수가 없어서
우리 아이의 심장 소리가 어떤지
어떤 부분에서 문제가 있는지 알 수가 없었습니다.
저희 병원은 스마트 청진기를 도입하여
보호자님과 원장님이 아이의
심장소리를 실시간으로 같이 청음 할 수 있습니다.
원장님이 청진기로 심잡음이 감지되었다면
스마트 청진기로 다시 듣고
방대한 AI 시스템이 이상음을 감지하면
바로 데이터를 전송하여 줍니다.
즉, 2중으로 확인이 가능하다는 점과
보호자님도 아이의 심잡음을 직접 확인 할 수 있다는
장점이 있습니다.

AI 스마트 청진기
방사선 촬영


방사선 촬영에서는
심장의 비대 정도
VHS(Vertebral heart size) 와
VL(Vertebral left atrial size)
를 측정합니다.
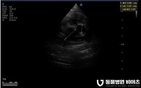
심장 초음파




심장 초음파는
심장 내강의 크기
심장벽 두께(LA:AO),
판막 모양의 이상 여부
혈관의 비정상적 확장 여부 등
엑스레이로는 확인이 어려운
심장 구조 변화의 많은 부분을 확인할 수 있습니다.
다시 한번 말씀드리지만
심장병은 조기 심장 검진이 가장 중요합니다.
증상(기침, 헐떡거림, 호흡곤란)이 발생하기 전에
기본 신체검사(청진)을 통한 심잡음 확인으로도
간단하게 확인할 수 있습니다.
B 단계(무증상 심장병)에서 인지를 하고 치료를
시작한다면 무증상 기간을 60% 연장 시킬 수 있습니다.

대표전화 1668-2875
02-999-7582

카카오톡상담
"동불병원비아츠"
