-
강아지 깨진 치아 강아지 치수절단술(vital pulpotomy)카테고리 없음 2023. 9. 1. 10:50
안녕하세요.
비아츠
입니다.

이번 시간에는 활성 치수절단술에
대하여 알아보겠습니다.
활성 치수절단술
(vital pulpotomy)
치수(신경)가 노출되었지만 감염이 상부에만 국한
되어 있을 때 상부의 살아 있는 치수(신경) 일부만
절단(제거) 하는 치료입니다.

치수는 윗부분의 치수강과 아래부분의 치근관으로 구성
우리가 보통 신경치료라고 하는 것은 치수관의
신경을 제거하고 특정 물질의 충진재를 삽입하여
막아주는 치료입니다.
신경치료는 신경을 치료한다기보다는 치아를 보존하기
위한 마지막 방법이라고 생각하시는 것이 더
좋겠습니다.
치수 노출 시 세균 감염 진행
치아가 골절되어 치수가 노출되면 구강 내 상재균
에 의한 감염이 진행됩니다.
치아는 비교적 단단한 구조물이므로 감염의 징후가
치아 자체에 나타나지 않고 상대적으로 덜 단단한
치조골 부위에 염증이 나타나게 됩니다.
그러므로 치아가 부러진 경우(신경 노출) 증상이 없더라도 다음 중 한 가지를 택하여 치료를 진행해야 합니다.
1. 발치
2. 치수 절단술(48시간 이내)
3. 신경치료(근관치료)
지금 당장은 증상이 없더라도 나중에 관련 증상이
나타날 수밖에 없습니다.

이 아이는 보호자분께서 골절 시점을 정확하게 알고
계시고 치수 윗부분의 감염만 확인되었기에
치수 절단술 치료를 진행하였습니다.
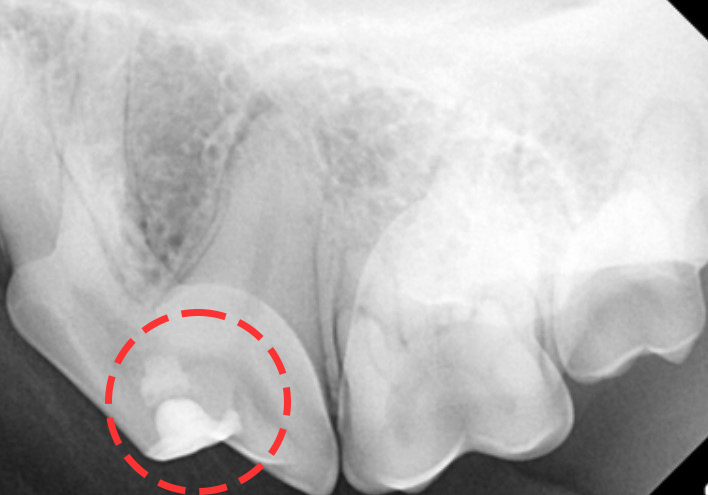
사진의 분홍색으로 보이는 부분이 신경이 노출된
골절 부위입니다.

치료 적용이 가능한 상태인지를 정확하게 확인하기
위해 치과 엑스레이 촬영 후 스케일링을 진행했습니다.
해당 치아에 국소 마취를 적용 후 치료를 진행합니다.
신경 전체를 제거하는 신경치료 대비 불필요한 신경 치료를 줄일 수 있고 치료 시간이 짧은 장점이 있습니다.



치아 골절의 주된 원인 중 가장 많은 비율을 차지하는
것은 동물의 뼈입니다.
치석 방지용으로 생뼈를 급이 할 경우 치아가 부러질
가능성이 매우 높습니다. 신경이 노출되지 않은 법랑질
(에나멜)만 골절이 될 경우 다행이지만 신경이
노출되거나 치아 뿌리도 같이 골절될 경우 근관(신경)
치료 또는 어쩔 수 없는 발치가 진행되어야 하는 상황이
생길 수도 있습니다.
아이의 치아가 깨졌다면 이상 증상이 없다 하더라도
병원에 내원하여 검사를 받고 적절한 조치를
하는 것이 나중에 발생할 수도 있는 구강질환을
예방할 수 있는 방법입니다.